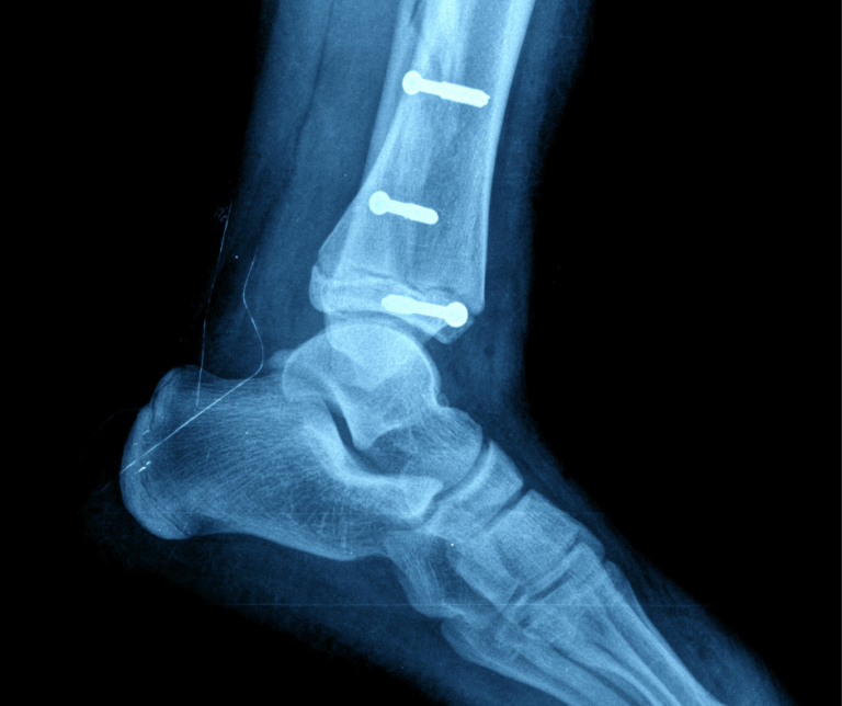
Surgical Screws: Supporting Healing and Ensuring Stability
When people hear about the use of surgical screws, their first reactions tend to stem from what they’ve seen in horror movies, not what they’ve read in medical journals. Yet despite some unfortunate negativity centered on their use in surgical procedures, screws have a very important and therapeutic role in foot and ankle surgery, helping…

			
			
			