Blog
Get Rid of Toenail Fungus Once and For All With Non-Invasive Laser Treatments
Toenail fungus, or onychomycosis, can be a persistent and embarrassing problem. It causes nails to become discolored, thickened, and brittle, impacting self-esteem and damaging quality of life. While various treatments exist, many fall short, leading to frustration and recurring infections…
How Better Diet and Nutrition Helps Both Diabetes and Arthritis
The team at Northern Ankle Foot Associates is always advocating for balanced diets, which most people know are essential to overall health. Lesser known, yet no less important, is the fact that diet control also plays a significant role in…
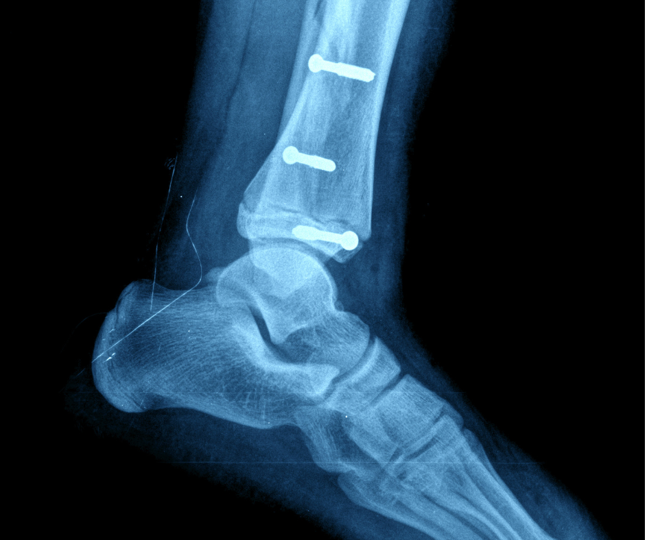
Surgical Screws: Supporting Healing and Ensuring Stability
When people hear about the use of surgical screws, their first reactions tend to stem from what they’ve seen in horror movies, not what they’ve read in medical journals. Yet despite some unfortunate negativity centered on their use in surgical…
Understanding Ultrasound: A Podiatrist’s Perspective
In some ways, ultrasound technology has changed the field of podiatry significantly, providing valuable insights and diagnostics that would normally be more difficult to glimpse. At Northern Ankle Foot Associates, we make frequent use of this non-invasive imaging technique. There…
Beating Bone Spurs and Handling Haglund’s Deformity
Bone spurs and Haglund’s deformity are two common conditions affecting the heel that can cause pain and discomfort to those they affect. While the two often occur together, they also have distinct characteristics and can lead to various complications if…
Falls Prevention Awareness Month: Safety Tips, Stability Boosting Braces, and More
September marks Falls Prevention Awareness Month, a crucial time to focus on preventing these dangerous and all-too-common incidents, especially for seniors. Falls are a leading cause of injury among older adults, but many can be prevented with the right strategies…
Keep Kids’ Feet Healthy With A Podiatrist’s Tips
Children’s feet are susceptible to many internal and external risks, navigating hormones, bone development, athletic injuries, and other factors that can permanently shape how they move and feel. Because our feet are inextricably linked to our overall health, it is incumbent…
Living Well with Neuropathy: Tips for Home Management
Neuropathy, or nerve damage, can really damage your quality of life, increasing the risk of injury and decreasing your ability to sense pain and discomfort in the extremities. Since symptoms often start in the feet, podiatrists are often a core…
Plantar vs. Posterior Heel Pain: Understanding the Difference
Heel pain is a common ailment, but that doesn’t mean it’s minor. It can still significantly disrupt daily life, hampering mobility while remaining stubbornly resistant to treatment. To make matters even more complicated, two primary types of heel pain, plantar…
Sprains, Strains, Fractures and Ruptures: A Podiatrist’s Guide to Sports Injuries
Neglect tends to make sports-related injuries worsen over time, but with a podiatrist’s prompt diagnosis and proper care, they can be effectively managed and treated.
Foot Care For Diabetic Patients: How To Do It Right
Taking care of your feet is essential, but it’s especially important for people with diabetes. Poor foot care can lead to serious health problems like infection, nerve damage, and even amputation. That’s why it’s important for patients with diabetes to…
MIS Bunionectomy: Faster Recovery, Precise Results
It’s well understood that bunions can cause significant pain and limit mobility. However, understanding a problem doesn’t necessarily entail a simple, straightforward solution. At Northern Ankle Foot Associates, we’re always seeking out innovative procedures that can benefit our patients and…
Fact vs. Fiction: Foot and Ankle Fractures
Broken bones in your lower extremities are always a cause for concern, and they can range from straightforward to complex in terms of severity and treatment. Often occurring due to falls, accidents, sports injuries, or trauma, all foot or ankle…
Senior Strategies: Managing Gout
Gout, an inflammatory arthritic condition characterized by sudden and severe joint pain, often strikes the big toe first, but it can affect any joint in the body. While gout is commonly associated with middle-aged men, seniors and women are also…
How to Handle Tendon Tears and Ruptures
Your feet and ankles rely on a complex network of tendons to function smoothly, but overuse, injury, or age can increase the likelihood of tears or ruptures. These injuries cause significant pain and impact your mobility. They’re also relatively common,…
Don’t Let Arthritic Big Toe Joints Stop You in Your Tracks!
At Northern Ankle Foot Associates, we want our patients to be aware of what they should watch for. That’s why, in this post, we’ve decided to share some of what we’ve learned over the years by drawing attention to an…
3 Forms of Heel Pain and How a Podiatrist Can Help
Sometimes the most typical problems can have long term, limiting impacts, and that’s particularly true in the case of heel pain. Podiatrists and patients alike know that heel pain is a widespread issue that can be surprisingly difficult to resolve,…
Active Adults, Athletic Injuries, and Effective Treatments
Stay active, but be aware of common adult sports injuries. From fractures to plantar fasciitis, discover treatments for a healthier, pain-free lifestyle.
Children: 4 Conditions That Affect Growing Feet
As children explore the world around them, their developing feet are constantly in motion. However, growth does not insulate children from podiatric complications; far from it. In fact, there are a few specific problems that parents should watch out for…
Bunions & Lapiplasty
At Northern Ankle Foot Associates, we know that you want to look good. And sometimes, in order to do so, you might resort to wearing high heels or similarly restrictive footwear. Unfortunately, aesthetic gains often go hand in hand with…
The Different Types of Ankle Sprains: From Mild To Severe
Ankle sprains are extremely common injuries in athletes, with an estimated 10,000 ankle sprains occurring daily in the United States alone. An ankle sprain happens when one or more of the ligaments of the ankle joint become stretched beyond their…
How To Get Rid Of Calluses Quickly and Painlessly On Feet
Calluses can build up from a variety of activities, including sports, heavy workouts, and even walking. They often form in areas that experience repetitive friction or pressure. These hard patches of skin can be uncomfortable and unsightly, so many people…
Understanding Foot Recovery with Surgical Screws
In foot treatment, surgical screws are essential for stabilizing fractures and assisting the healing process. To maintain correct alignment and speed recovery, these operations entail inserting specialized screws into the foot’s bones. Let’s discuss what we treat and the importance…
How To Get Rid Of Calluses: Expert Tips For Smooth, Healthy Feet
Calluses can build up from a variety of activities, including sports, heavy workouts, and even walking. They often form in areas that experience repetitive friction or pressure. These hard patches of skin can be uncomfortable and unsightly, so many people…
Threaded Healing: The Intricate Role Of Surgical Screws In Foot
In foot treatment, surgical screws are essential for stabilizing fractures and assisting the healing process. To maintain correct alignment and speed recovery, these operations entail inserting specialized screws into the foot’s bones. Let’s discuss ,what we treat and the importance…
The Ultimate Guide To Custom Orthotics: Improving Comfort & Health
The importance of foot health and comfort for overall well-being is sometimes underrated. At Northern Ankle Foot, we place a lot of emphasis on maintaining comfortable feet and wellness. We introduce bespoke orthotics as a game-changing remedy for a range…
Foot Makeover Chronicles: Hammer Toe Surgery With Screws
If you’re suffering from a hammer toe deformity, the thought of having to undergo surgery might be daunting. However, advances in medical techniques have made it possible to treat this condition safely and effectively using surgical screws. n The team…
Foot Braces Decoded: Your Key To Happy, Healthy Feet!
In the world of foot health and wellness, a remarkable journey is unfolding. The spotlight is on a transformative tool that has been enhancing lives and restoring mobility – foot braces. In the pursuit of comprehensive foot care, these ingenious…
Walking Tall: Empowerment Through Custom Foot Orthotics
Are you tired of struggling to find comfortable shoes? Do you often experience heel pain or support issues with traditional footwear? Well, it’s time to take your comfort and care into your own hands. Introducing custom orthotics from Northern Ankle…
Uncovering The Hidden Culprits: What Causes Neuropathy In Feet?
Neuropathy in the feet is a mysterious and often debilitating condition that affects countless individuals around the world. It has a range of symptoms, including tingling sensations, numbness, and even sharp, shooting pains. Uncovering the hidden culprits behind this condition…
Resolving Children’s Foot Problems To Kickstart Healthy Feet
Every step a child takes is a building block for a healthy future. As parents and caregivers, it’s crucial to pay attention to every aspect of their development, including the health of their precious little feet. From common issues like…
Unveiling 8 Common Skin Disorders On Feet And Treatments
Discover the hidden secrets of your feet as we delve into the world of skin disorders that often go unnoticed. From itchy rashes to painful blisters, your feet are susceptible to a variety of common skin conditions that can hinder…
Healing and Preventing Foot Ulcers: Proven Techniques for Healthy Feet
Skin ulcers on the feet can be a significant concern for individuals, particularly those with underlying health conditions or circulatory issues. These ulcers, also known as foot ulcers, are open sores that develop on the skin, exposing underlying tissues. You…
How To Heal Leg Ulcers And Restore Skin Integrity
Leg ulcers can be a complex and debilitating condition that causes low to extreme pain. If you are grappling with leg ulcers, it is crucial to seek the expertise of specialized professionals who can provide targeted care and guidance. With…
The Science of Healing: How to Treat a Diabetic Wound
Life with diabetes comes with its own set of challenges, and one of the biggest concerns is the increased risk of developing wounds that heal slowly. Diabetic wounds, if left untreated, can lead to severe complications and even amputation. However,…




































